显微镜下的沙门氏菌
- 2024-06-19 09:31:15
显微镜下的沙门氏菌|应用百科
夏季是沙门氏菌感染的高发季。沙门氏菌是***类常见的食源性致病菌,常存在于被污染或消毒不当的肉类或奶制品等,可引起感染者食物中毒、肠热症甚至败血症。如何检测沙门氏菌,可以使用SS琼脂平板培养,但是培养周期较长。如果想要快速检测菌体,可通过生物显微镜ML51-N,可观察沙门氏菌的结构,明确其显微特征,从而达到检测的目的。

使用SS琼脂平板培养,沙门氏菌可呈黑色或半透明小菌落,黑色是伤寒沙门菌,半透明可能是鼠伤寒沙门菌。

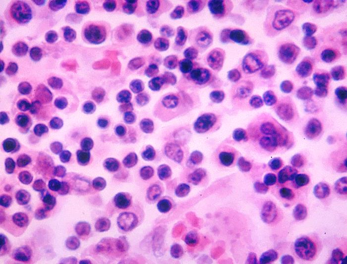
使用生物显微镜ML51-N观察淋巴结病理组织,可见巨噬细胞中的沙门氏菌、红细胞和淋巴细胞

沙门氏菌为阴性红色,形态为球杆状或线状,成对或短链状排列

使用鞭毛染色法,大部分品种沙门氏菌可见鞭毛,无荚膜

生物显微镜ML51-N采用无穷远消色差独立校正光学系统,可清晰观察菌体的结构,保证采集菌体图像的清晰度和色彩还原性,为数字成像提供高质量和高性能的成像效果。

为了快速提高沙门氏菌检测率,可以使用荧光染色,利用沙氏门菌的高特异性荧光反应,在荧光显微镜下快速辨别。
(文章来源于仪器网)
