显微镜下的李斯特菌
- 2024-06-19 09:30:32
显微镜下的李斯特菌|应用百科
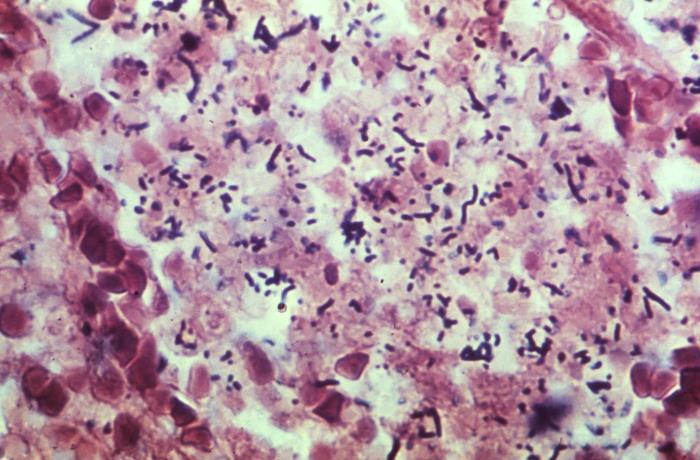
夏天来了,我们喜欢打开冰箱,拿个冰激凌吃,那叫***个"爽",你可知道,冰箱还藏着***个"杀手"名叫李斯特菌。李斯特菌是***种常见的食源性致病菌,容易引起腹泻、发热、肌肉痛等症状。如何快速找到李斯特菌,确定患者的病因由为重要。通过生物显微镜ML51-N,可观察李斯特菌的结构,明确其显微特征,从而达到检测的目的。

生物显微镜下李斯特菌呈单个或短链状

多数李斯特菌体***端较大,似棒状

培养时间延长或粗糙型培养可呈丝状菌体

生物显微镜ML51-N采用无穷远消色差独立校正光学系统,可清晰观察菌体的内部结构,保证采集菌体图像的清晰度和色彩还原性,为数字成像提供高质量和高性能的成像效果。
(文章来源于仪器网)
